
2月7日,世界高端的德国西门子
双源CT在我院安装调试成功并正式投入使用。我院为满足广大患者的医疗需求,提高诊断水平,投巨资从德国
西门子公司引进
双源CT,为患者提供了高标准的医疗检查设备。该设备的投入使用,为我院提供了更安全、更准确的
医学影像学支持,为病人早诊断、早治疗提供了更加可靠的诊断依据,医疗技术水平有了极大地提高,医疗服务手段已逐步完善,将为丹阳地区及周边群众看病提供极大便利。
该设备具有先进的性能,优良的设备硬件,完善的临床应用软件,扫描速度快,射线剂量低,图象质量优异,它是世界上先进的高端医疗影像设备。
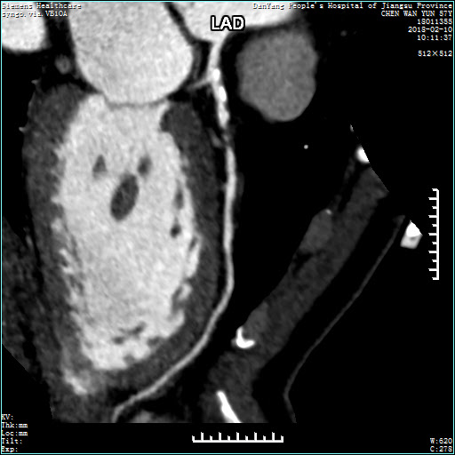
该设备为双球管双探测器系统CT,具有冠状动脉成像、脑动脉成像,血管曲面成像、高分辨率成像、多重三维成像等优势,可通过对人体进行多方位、多期相观察,获得不同部位的解剖数字图像,提供病灶的部位、结构、毗邻关系及生理病理等信息,以早期发现微小病变,定位准确、无创伤。
双源CT的检查范围不止
冠心病,还可以测出脑血管、肺动脉、大动脉、肾动脉、四肢动脉、静脉等情况,通过薄层扫描,发现微小的肿瘤,对骨关节、肾结石、胆结石、痛风石等细微的病变都能“明察秋毫”。
双源CT对于临床的意义在于三大优势:
优势一:速度快

0.28秒心脏成像,尤其适用于房颤、早搏等心律不齐患者的检查,能够清晰的显示心脏冠状动脉,发现有无冠状动脉狭窄,评估狭窄的程度及原因,其冠状动脉扫描图像可和数字减影血管造影(DSA)媲美,却没有手术创伤,没有并发症,因此双源CT是诊断心脏冠状动脉狭窄、评价心脏支架置入及心脏冠脉搭桥术后病人情况的最佳选择





0.6秒全胸冠状动脉、肺动脉、胸主动脉成像,便于医生“一站式” 诊断
急性胸痛原因,瞬间甄别
心脑血管等全身血管变异、血管疾病、血管狭窄、
动脉瘤、主动脉夹层、
肺栓塞等疾病;


4秒全身成像,适合于全身各部位的血管成像及急症病人大范围的扫描。

优势二:辐射低
由于扫描速度快,加之该设备特有的高级低剂量平台、低剂量关爱技术,可降低心脏快速运动阶段的放射剂量,最大限度地减少辐射,放射剂量仅为普通CT的1/4,为CT心脏扫描真正成为临床常规检查创造了条件,也使肺癌的低剂量早期筛查变成现实,此外该检查可对辐射敏感的小儿进行检查。
优势三:图像清
0.6mm薄层扫描,可进行不同方位的三维立体图像重建,人体解剖结构及病变更直观、更准确,加之特有的肿瘤成像系统、迭代技术降低噪声、空间分辨率达行业最高,有利于观察更细小的病变,特别是肿瘤的早期发现,能更好地满足临床需要。